Nasze prace
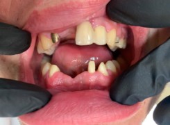
Pan Kamil zgłosił się do gabinetu po wypadku rowerowym w wyniku którego wybił ząb – lewą górną jedynkę. W takiej sytuacji została podjęta decyzja o implantacji natychmiastowej oraz zapatrzeniu pacjenta na czas integracji wszczepu w uzupełnienie tymczasowe.
Poniżej przebieg odbudowy protetycznej.
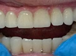
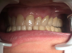
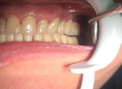
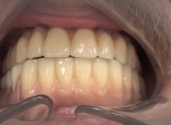
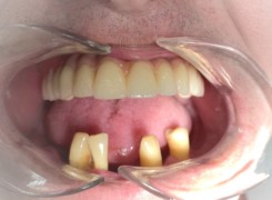
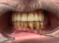
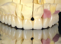
Pan Ryszard trafił do Naszego Gabinetu z jasno sprecyzowanym oczekiwaniem. Miał 84 lata i chciał odzyskać możliwość swobodnego spożywania posiłków oraz poprawienia sobie komfortu życia a także prosił aby przywrócić mu piękny uśmiech jakim cieszył się przed laty. Już na początku pierwszej rozmowy zastrzegł, że interesuje go wyłączenie rozwiązanie uzupełnieniem protetycznym stałym. Nie miał zamiaru użytkować żadnych protez ruchomych. Mając na uwadze powyższe wykonaliśmy Panu Ryszardowi zdjęcie pantomograficzne oraz badanie tomograficzne szczęki i żuchwy na postawie których zapanowywaliśmy Pacjentowi optymalne rozwiązanie – stałe uzupełnienie protetyczne w postaci 28 koron cyrkonowych zamontowanych do dwóch belek cyrkonowych które będą przymocowane do 16 implantów w konfiguracji 8 wszczepów w szczęcie 8 w żuchwie. Po omówieniu powyższego planu przystąpiliśmy do Wspólnej pracy której efekty w poszczególnych etapach prezentujemy poniżej.
Przykłady innych prac




























































































































