Jest to postępowanie mające na celu leczenie chorób miazgi i tkanek okołowierzchołkowych. Leczenie kanałowe dzieli się na etapy:
Prawidłowa diagnoza:
- Zapoznanie się z topografią skomplikowanej budowy jam zębowych
- Opracowanie systemów kanałów korzeniowych przy użyciu instrumentów rotacyjnych
- Szczelne wypełnienie kanałów do otworu fizjologicznego
- Pragnąc zagwarantować Państwu, że do każdego etatu leczenia podchodzimy z największą troską i dbałością oferujemy opracowanie kanałów korzeniowych przy użyciu tylko i wyłącznie zaawansowanej technologii, jaką daje praca w systemie X-smart oraz przy użyciu powiększenia mikroskopowego. Powyższe urządzenia w połączeniu z wypełnieniem kanałów metodą kondensacji bocznej płynną gutaperką oraz kontrola radiologiczna zakończonego leczenia daje Państwu pewność powodzenia zarówno leczenia kanałowego jak również leczenie reendodontycznego (powtórnego leczenia kanałowego).
Leczeniem kanałowym określamy potocznie czynności związane z leczeniem zęba w jego korzeniach. Powoli określenie to zostało zastąpione nazewnictwem fachowym w brzmieniu – Endodoncja, leczenie endodontyczne.
Podczas czynności związanych z leczeniem korzeni zębów endodonta – specjalista od leczenia kanałowego przy użyciu odpowiednich nowoczesnych narzędzi takich jak: mikroskop, lupy, maszynowe narzędzia rotacyjne czy ręczne narzędzia zwane pilnikami poznaje opracowuje i wypełnia techniką ciekłej gutaperki przygotowane wcześniej światło kanałów.
Leczenie to może odbywać się w dwóch fazach. Pierwotne – kiedy leczymy kanały zębów po raz pierwszy oraz powtórne – kiedy ze względów klinicznych leczenie kanałowy musimy wykonać ponownie.
Wtórne ( ponowne ) leczenie kanałowe jest leczeniem, które stosujemy w sytuacji, kiedy pierwotne leczenie się nie powiodło lub zostało przeprowadzone w sposób nieprawidłowy.
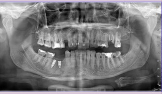
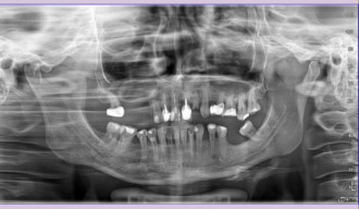
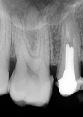
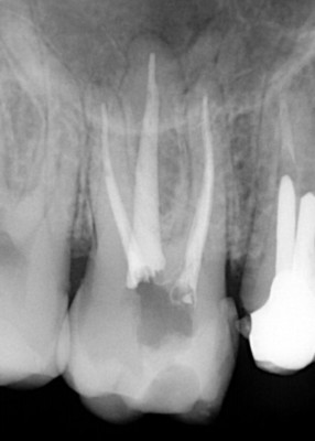
Wskazaniem po takiego leczenia są sytuacje, w których pojawiły się zmiany w okolicy wierzchołków korzeni lub podczas pierwszego leczenia kanałowego kanały zęba zostały opracowane i wypełnione w sposób nieprawidłowy – najczęściej nie zostały dopełnione do wierzchołka korzenia zęba. Obydwa przypadki można zdiagnozować na podstawie analizy obrazu radiologicznego.
Leczenie endodontyczne w Naszym Gabinecie odbywa się tylko i wyłącznie przy użyciu mikroskopu. Tylko odpowiednie powiększenie oraz doświadczenie lekarza pozwala na osiągnięcie odpowiedniego efektu ponownego leczenia kanałowego. Nasz specjalista Dr Mariusz Pietrzak wykonuje takie leczenie podczas jednego spotkania. Macie Państwo, zatem komfort nie tylko bezbolesnego leczenia, ponieważ zawsze odbywa się ono w znieczuleniu miejscowym, ale także kompleksowości ( na miejscu wykonujemy całą diagnostykę radiologiczną ) oraz sprawności leczenia, które można zakończyć podczas jednego spotkania.
Leczenie pod mikroskopem daje możliwości nie tylko uratowania zębów, których budowa anatomiczna nie pozwoliła wykonać pierwotnego leczenia poprawnie, ale także sytuacji, w których światło kanału zęba jest już niewidoczne i należy je odnaleźć oraz kiedy podczas próby leczenia zostało złamane narzędzie, którym lekarz próbował udrożnić kanał.
Udrożnienie kanału, w którym zostało złamane narzędzie pozwala wypełnić poprawnie kanały zęba i zachować go z dobrym rokowaniem na kolejne lata.
Usuwanie złamanych narzędzi w powiększeniu oraz opracowywanie trudnych anatomicznie kanałów zębów, które odbywa się pod mikroskopem i jest gwarancją, że leczenie będzie przeprowadzone poprawnie.









